.

Denti Vitale

Clínica dental

User Image

Edificio Sixtino I, Guatemala City
6ta avenida 6-63 zona 10, Edificio Sixtino I, Guatemala City, Guatemala, Guatemala City
Denti Vitale Grupo de Odontólogos Especialistas
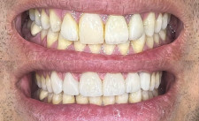
Brindamos los mejores tratamientos dentales disponibles. Graduados de la Universidad Francisco Marroquin. Especialistas Universidad de Nueva York
 
Servicios
  • Rehabilitación Oral
  • Implantes Dentales
  • Multiples Especialidades
  • Dentistas Luis Grisolia, Dentist Guatemala, Dental Implants Guatemala
  • Más Información
  • Implantes dentales guatemala
 

Horarios

Edificio Sixtino I, Guatemala City
Horarios:
  • Lunes: 09:00-18:00
  • Martes: 09:00-18:00
  • Miércoles: 09:00-18:00
  • Jueves: 09:00-18:00
  • Viernes: 09:00-18:00
  • Sábado: 09:00-13:00

Idiomas

Formas de pagos aceptadas