.

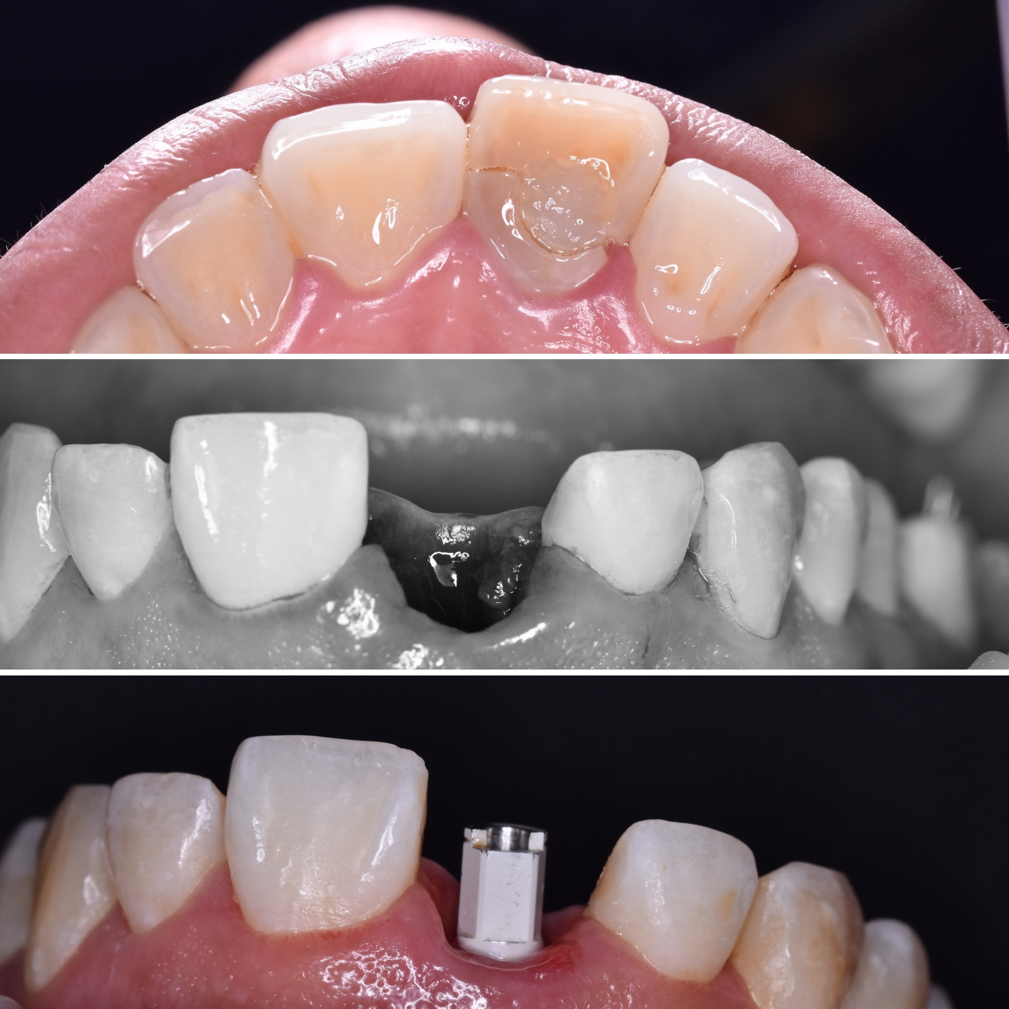
Implantes Dentales

Envíado por Dr. Christian Garby Jofré